牙结石是什么样的图片
2022-10-30 17:31:12
|
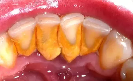
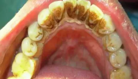
各位看官好,这里是建立在很久很久以前的资讯驿站,我是夏夏。关于牙结石是什么样的图片,应该很多网友想了解。网上很多相关的内容,这里做下整理汇总,仅做参考,有错误的还请指正。现在就来看看具体内容。牙结石是平时不注意口腔健康问题而导致的,这种长期积累下来的牙结石会危害到牙齿健康。很多人都不太懂牙结石是什么样子的,其实就是牙垢,牙齿内侧会比较明显。
牙结石是什么样的图片 牙结石是一种覆盖牙齿颈部的硬化刺激物,它通常是由一些牙菌斑缓慢沉积引起的。因此,需要及时治疗。牙菌斑含有一些细菌或物质,例如钙和磷酸盐。因为口腔唾液比较粘稠,很容易堆积在牙龈表面,会形成一些龈上牙石,如果堆积在牙龈下方,就会形成一些龈下牙石。 在这种情况下,需要通过超声波洁治或龈下洁治及时去除。一般来说,牙结石与牙菌斑很相似,只是看起来比较硬而且发黄,所以比较容易区分。需及时对症治疗,局部刺激物及时清除,方可缓解。一些局部炎症,缓解一些牙龈出血,以及牙龈退缩的发生。因此,牙结石的发生是非常可怕的,及时对症治疗可以有效缓解。
小苏打溶解牙结石小妙招 口腔内使用小苏打,不能够起到去除牙垢和牙结石的作用。牙结石形成后,非常紧密地附着在牙齿上,不能通过刷牙或冲洗来去除。 去除牙垢需要进行牙齿清洁,也就是通过医生来操作才能去除牙结石。 牙结石形成后又分为龈上结石和龈下结石。 龈上结石一般沉积在龈缘附近,是牙龈炎的主要原因。 牙周病主要是由于龈下牙结石的沉积。 导致。 如果嘴里有牙结石,牙龈和牙周状况不好,要定期清除牙结石。 去除龈上结石一次即可完成,称为刮治。 对于龈下结石,需要在局部麻醉下分段进行。 此操作称为刮治。
牙结石可以自己抠掉吗 牙结石通常是不可以自己抠掉的,牙结石是软垢沉积在牙齿表面的钙化物,随着时间会越积越多,慢慢还会导致牙龈萎缩,影响口腔健康,如果自己用手去抠,可能会伤害到牙齿。去掉牙结石可以到医院采用超声波的方法治疗,超声波是通过震荡将牙齿震碎,然后再对牙齿打磨抛光,使牙齿表面变得更加光滑。 由于时间紧凑,这次关于"牙结石是什么样的图片"的介绍就此结束。本文结合了各方的资料,有遗漏错误的地方还请指出。不知道看完有没有给大家带来参考价值?如果有新的内容,小编会为大家继续整理出来,回见! |


